• Mikroskop Ilmiah

    • Analisis superior dengan observasi yang fully-focused
    • Pengaturan cahaya adaptif
    • Lensa terkalibrasi memungkinkan pengukuran yang akurat
    • Visualisasi permukaan dengan 3D
  • Mikroskop Otomatis ALL-IN-ONE

    • Menggabungkan 4 macam mikroskop menjadi 1 sistem - Mikroskop Stereoskopik, Metalurgi, Elektron, dan Pengukuran.
    • Pencahayaan yang bisa disesuaikan dan fokus yang mudah.

  • Pengukuran

    • Pengukuran langsung di layar tampilan.
    • Data pengukuran disimpan dan bisa diambil dalam bentuk CSV.

  • Observasi

    • Depth-of-field yang dalam menghasilkan gambar yang berkualitas tinggi, namun mudah digunakan.
    • Pengamatan dari berbagai sudut bisa dilakukan dengan memiringkan lensa dan memutar anjungan. Mode hand-held juga dimungkinkan untuk observasi benda yang besar.

  • Pengambilan Gambar

    • Gambar dan video yang disimpan dapat dengan mudah dibagikan dengan adanya fasilitas LAN, USB 2.0, 3.0.
    • Pembuatan laporan otomatis dapat dilakukan dengan menggunakan template yang dapat diatur.

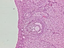
  • Ovarium (200x)

  • Batang Tanaman (500x)

  • Serbuk Mandi (20x)

  • Bakteri (1000x)

Daftarkan alamat email perusahaan/organisasi/badan usaha Anda ke website KEYENCE untuk mendapatkan akses GRATIS ke ribuan panduan teknis dan katalog kami!

ITEM YANG DIREKOMENDASI

Seri VHX-6000 Mikroskop Digital Katalog

Seri VHX-6000 Mikroskop Digital Katalog
  • [Tipe file]PDF:7.34MB

Untuk mengunduh katalog ini, daftarkan email Anda atau login jika sudah terdaftar

Kami menjamin 100% privasi data Anda – informasi Anda tidak akan pernah dibagikan ke pihak lain.

Pernyataan Privasi

Layanan Anggota

  • Unduh Dokumen dengan Cepat
  • Penawaran Harga Cepat
  • Registrasi Satu Kali, Akses Tak Terbatas

Daftar

Langkah 1/3

Silakan isi informasi di bawah ini untuk membuat akun web KEYENCE. Hanya dengan 1 kali registrasi, Anda bisa mengakses semua informasi produk, technical guide dan katalog secara GRATIS dan UNLIMITED!

Buletin

Cek Inbox Anda

Kami baru saja mengirimkan verifikasi link ke emailĀ .
Jika Anda sudah menerimanya, link ini dapat digunakan dalam 24 jam.